#患者姓名:杨**
#性别:女
#年龄:76岁
#主诉:发作性下颌不自主运动约5天 。
#现病史:患者于5天前无明显诱因出现下颌关节不自主活动,伴意识丧失,呼之不应,【知识点1:Dyke- Davidoff- Masson综合征的症状】无双眼上窜,无牙关紧闭,无口吐白沫,无呼吸急促,无口唇紫绀,持续约2小时左右症状自行缓解,神智逐渐恢复,对发作情况不能回忆,无恶心呕吐,无肢体麻木及瘫痪,无大小便失禁。随后前往济民医院就诊,经治疗患者症状未见缓解,近5日来患者反复发作上述症状5次。发病以来,患者精神一般,食欲尚可,无精神行为异常,大小便正常,体力体重无明显改变。
#既往史:既往有糖尿病病史20余年,目前口服二甲双胍缓释片0.5g bid,血糖控制不详;高血压病史20余年,最高血压达180/?mmHg,口服硝苯地平片10mg qd,血压控制不详;否认冠心病病史;否认肝炎结核病史;否认手术;2年前因摔倒致右髋部骨折,行保守治疗。否认食物及药物过敏史。
#个人史:生于当地,久居当地。否认疫区、疫水接触史。否认毒物,放射性物质接触史。否认烟酒嗜好。
#婚育史:适龄结婚,配偶体健。
#家族史:无。
#专科检查:体温36.8℃,脉搏61次/分,呼吸21次/分,血压202/103mmHg。神志清楚,步入病房,查体合作。全身皮肤粘膜无黄染及出血点,浅表淋巴结无肿大,双肺呼吸音清,未闻及明显干湿性啰音,心率61次/分,心律齐,心脏各瓣膜听诊区未闻及明显杂音,腹平软,肝脾肋下未及,双下肢无水肿。神经系统查体:神志清楚,双侧瞳孔等大等圆,直径3mm,对光反射灵敏,双侧眼球各方向运动自如,无明显眼震,双侧额纹鼻唇沟等称,伸舌居中,无舌肌纤颤,发音正常,悬雍垂居中,双侧软腭上抬正常,咽反射正常,双侧转颈耸肩有力,四肢肌力肌张力正常,双侧深浅感觉及共济运动检查无异常,双侧腱反射等称,病理征(-),颈软,双侧克布氏征(-)。
#辅助检查结果:
血常规:
| 检验项目 | 结果 | 单位 | 参考值 |
| 白细胞计数 | 4.04 | *10^9/L | 4-10 |
| 中性粒细胞百分比 | 55.8 | % | 50-70 |
| 淋巴细胞百分比 | 35.7 | % | 20-40 |
| 单核细胞百分比 | 5.6 | % | 3-12 |
| 嗜酸性粒细胞百分比 | 2.6 | % | 0.5-5 |
| 嗜碱性粒细胞百分比 | 0.3 | % | 0-1 |
| 中性粒细胞绝对值 | 2.25 | *10^9/L | 2-7 |
| 淋巴细胞绝对值 | 1.44 | *10^9/L | 0.8-4 |
| 单核细胞绝对值 | 0.23 | *10^9/L | 0.12-1.2 |
| 嗜酸性粒细胞绝对值 | 0.11 | *10^9/L | 0.02-0.8 |
| 嗜碱性粒细胞绝对值 | 0.01 | *10^9/L | 0-0.1 |
| 红细胞计数 | 4.38 | *10^12/L | 3.5-5.2 |
| 血红蛋白 | 135.0 | g/L | 110-150 |
| 红细胞压积 | 41.20 | 37-47 | |
| 平均红细胞体积 | 94.0 | fL | 80-100 |
| 平均红细胞HB含量 | 30.8 | pg | 27-34 |
| 平均红细胞HB浓度 | 327 | g/L | 320-360 |
| 红细胞宽度标准差 | 43.6 | fL | 35-56 |
| 红细胞宽度变异系数 | 12.6 | % | 11.0-16.0 |
| 血小板计数 | 184 | *10^9/L | 100-300 |
| 血小板压积 | 0.175 | % | 0.108-0.282 |
| 平均血小板体积 | 9.5 | fL | 6.5-12 |
| 血小板体积分布宽度 | 16.1 | 15-17 | |
| 大型血小板比率 | 23.1 | % | 11-45 |
| 大血小板数目 | 43 | *10^9/L | 30-90 |
| 全程C反应蛋白 | 1.65 | mg/L | 0.00-4.00 |
| 检验项目 | 结果 | 单位 | 参考值 |
| 总胆红素 | 8.3 | umol/L | 0-21.0 |
| 直接胆红素 | 2.1 | umol/L | 0-6.8 |
| 间接胆红素 | 6.2 | umol/L | 0.00-17.0 |
| 总蛋白 | 60.0 | g/L | 60-85 |
| 白蛋白 | 32.9 | g/L | 35-55 |
| 球蛋白 | 27.1 | g/L | 20-35 |
| 白球比 | 1.21 | 1.2-2.50 | |
| 血清前白蛋白测定 | 176.5 | mg/L | 150-380 |
| 天门冬氨酸氨基转移酶 | 13 | U/L | 0-35 |
| 丙氨酸氨基转移酶 | 8 | U/L | 0-40 |
| γ-谷氨酰基转移酶 | 32 | U/L | 0-45 |
| 碱性磷酸酶 | 128 | U/L | 35-135 |
| 乳酸脱氢酶 | 196 | U/L | 103-227 |
| 总胆汁酸 | 3.4 | umol/L | 0-10 |
| 甘胆酸 | 0.9 | ug/ml | 0-2.7 |
| 尿素 | 4.1 | mmol/L | 1.7-8.8 |
| 尿酸 | 369 | umol/L | 155-357 |
| 肌酐 | 63.7 | umol/L | 41-81 |
| 尿素/肌酐 | 0.06 | ||
| 胱抑素 | 1.27 | mg/L | 0.6-1.55 |
| β2微球蛋白 | 3.67 | mg/L | 1-3 |
| 钾 | 3.40 | mmol/L | 3.5-5.3 |
| 钠 | 147.20 | mmol/L | 135-147 |
| 氯 | 109.90 | mmol/L | 95-110 |
| 总钙 | 2.03 | mmol/L | 2.08-2.6 |
| 无机磷 | 0.99 | mmol/L | 0.81-1.65 |
| 镁测定 | 0.70 | mmol/L | 0.6-1.1 |
| 二氧化碳 | 28.3 | mmol/L | 20-29 |
| 肌酸激酶 | 33 | U/L | 40-200 |
| 肌酸激酶同工酶 | 15 | U/L | 0-25 |
| α羟基丁酸脱氢酶 | 143.4 | U/L | 72-182 |
| 血同型半胱氨酸 | 14.80 | umol/L | 0-20 |
| 葡萄糖 | 6.17 | mmol/L | 3.9-6.1 |
| 总胆固醇 | 4.34 | mmol/L | 2.8-5.68 |
| 检查项目 | 影像学表现 | 影像学诊断 |
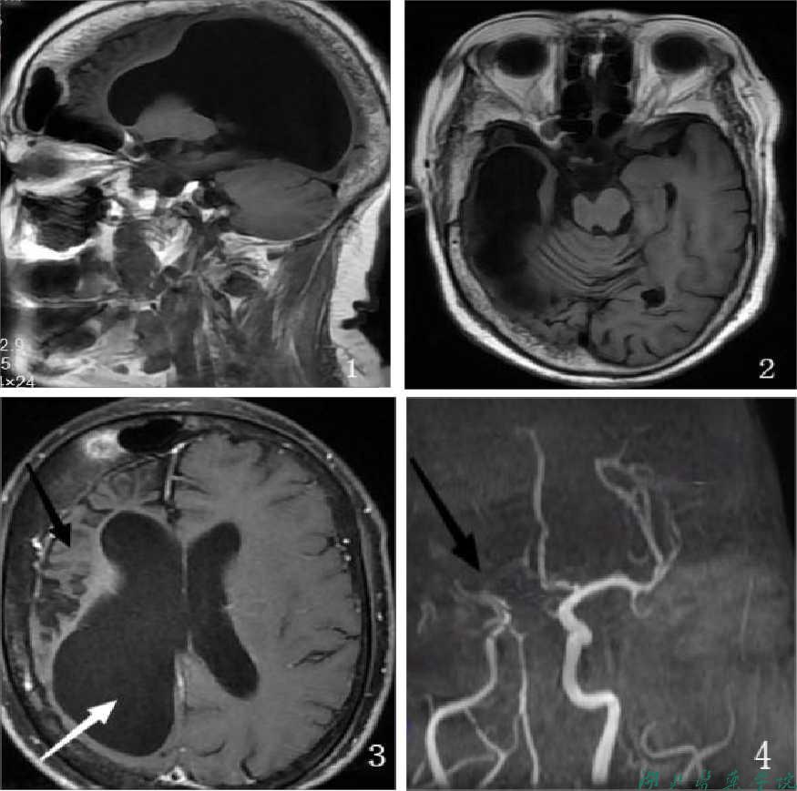
| 磁共振平扫+增强 | 右侧大脑半球皮层及皮层下脑实质体积缩小,右侧残余脑白质T2t1a1信号增高,右侧大脑半球脑沟、裂增宽,右侧脑室明显较对侧扩大,中线结构稍向右侧偏移。右侧额颞顶枕骨板障明显增厚。右侧额窦较对侧明显扩大,其内气化良好。左侧放射冠区见多发斑点状异常信号,T2WI及T2f1a1r是高信号,左枕叶(侧脑室后角下)见一囊状T2WI高信号影,直径约0.9cm。颅内未见明显流空信号团注G-DTPA增强扫描:颅内未见明显导常强化灶。 | 1.戴克-戴维多夫-马森(Dyke-Davidoff-Masson)综合征可能性大。 2.左侧放射冠区多发腔梗。 3.左侧枕叶囊肿。 |
| 检查项目 | 影像学表现 | 影像学诊断 |
| 磁共振血管成像 | 右侧大脑中动脉M1段纤细,远端分支未见显影;左侧大脑后动脉P2段及右侧大脑前动脉A2、A3段中重度狭窄;颅内未见明显异常血管显示。 | 1.右侧大脑中动脉M1段纤细、重度狭窄、闭塞;左侧大脑后动脉P2段及右侧大脑前动脉A2、A3段中重度狭窄。 2.双侧胚胎型大脑后动脉。 |
#诊断:Dyke- Davidoff- Masson综合征:
症状(诊断重要线索):癫痫,肌张力障碍
体征(诊断客观依据):无。
辅助检查(诊断必要条件):①颅脑磁共振提示患者大脑单侧半球萎缩。②有明确颅脑外伤史。
#鉴别诊断:
A. TIA:短暂性脑缺血发作也可出现反复发作神经功能缺损症状,但多表现为同一神经功能支配区,多出现肢体瘫痪,麻木,在2小时内缓解,不遗留神经功能缺损体征。且该病无典型强直阵挛症状,可予鉴别。
B. 癔病:可出现反复发作肢体抖动,但持续时间较长,具有表演性质,无舌咬伤、尿失禁等表现,且为排除器质性病变的排他性诊断,目前不考虑,进一步查脑电图可予鉴别。
#治疗原则:
治疗方案:结合患者临床表现及辅助检查,对于难治性癫痫药物控制效果不佳者可行半球切除术,但可完成对指等精细运动及脑MRI提示左侧半球中央区皮层结构比较完整的患者,可选择多脑叶离断术取得同样的手术效果。
#总结与思考:
1. Dyke-Davidoff-Masson综合征( Dyke-Davidof-Masson syndrome,DDMS)是一种罕见的中枢神经系统疾病,是脑偏侧萎缩的常见病因临床以反复癫发作、面部不对称、一侧肢体偏瘫、智力发育低下及精神异常等为特征。典型影像学表现为单侧大脑半球萎缩、同侧侧脑室扩张、部分脑实质有较大的软化灶、同侧颅骨增生、鼻窦及乳突窦增大等。由Dyke、Davidoff和Masson于1933年首先报道。
2. 临床进程是不对称的大脑半球增长发育,伴有一侧萎缩负占位效应。脑实质容量的减低导致了同侧侧脑室和脑沟扩大。这种适应性改变,其结果导致同侧颅盖骨增厚、以及鼻旁窦增大。
3. 大脑镰移位是DDMS的一种关键性改变
4. Dyke-Davidoff-Masson综合征的病因是什么?
#知识点名称:知识点1:Dyke- Davidoff- Masson综合征的症状
#知识点标签(依据执考大纲):6.1.6
#易程度(A/B/C):A
#内容(文字、图片描述知识点内容):
临床以反复癫发作、面部不对称、一侧肢体偏瘫、智力发育低下及精神异常等为特征
#知识点名称:知识点2:Dyke- Davidoff- Masson综合征的影像学诊断
#知识点标签:6.1.9
#难易程度(A难/B中等/C易):A
#内容(文字、图片描述知识点内容):
典型影像学表现为:单侧大脑半球萎缩、同侧侧脑室扩张、部分脑实质有较大的软化灶同侧颅骨增生、鼻窦及乳突窦增大等。
#参考资料:
[1]Atalar MH,Icagasuoglu D,Tas F.Cerebral hemiatrophy(Dyke-Davidoff-Masson syndrome)in childhood:clinicoradiological analysis of 19 eases[J].Pediatr Int,2007,49(1):70-75.
[2]Park KI, Chung JM, Kim JY. Dyke-davidoff-masson syndrome: cases of two brothers and literature review[J]. J Epilepsy Res, 2014, 4(1):24-27.
[3]Sener RN, Jinkins JR. MR of craniocerebral hemiatrophy[J]. Clin Imaging, 1992, 16(2):93-97.
[4]Tasdemir HA, Incesu L, Yazicioglu AK, et al. Dyke-Davidoff-Masson syndrome[J].Clin Imaging, 2002, 26(1): 13-17.
