#患者姓名:丁XX
#性别:女
#年龄:67岁
#主诉:左侧肢体活动不利19天
#现病史:患者于2023年10月6日下午户外行走时无明显诱因突发左侧肢体无力,当即站立不问,摔倒在地,伴出现意识障碍,伴呕吐【知识点1:脑卒中的鉴别诊断】,伴小便失禁,无肢体抽搐,后立即救护车送至我院,急诊行气管插管,并急查颅脑CT提示右侧基底节出血破入脑室【知识点2:脑卒中的影像学特点】,遂急诊入住脑血管诊疗中心,积极完善相关检查,急诊行“脑内血肿清除术+颅骨修补术+脑室钻孔引流术+脑脊液漏修补术”,术后予以脱水降颅压、预防癫痫、控制血压、促醒、抑酸护胃、营养神经、雾化祛痰、抗感染、维持内环境稳定等对症营养支持治疗,病情稳定后出院,但遗留有左侧肢体活动不利,站立、行走不能,上肢活动欠充分,日常生活依赖,患者现为求进一步功能恢复,来我科就诊,门诊以“1.脑出血恢复期-左侧偏瘫2.高血压病2级 极高危组”收入我院。
患者自发病以来,意识逐步恢复清醒,精神、饮食尚可,睡眠一般,大小便基本正常,体力、体重较前下降。
#既往史:既往高血压病史多年,最高血压达170/95mmHg,现口服硝苯地平缓释片控制血压,自诉血压控制可【知识点3:脑卒中的危险因素及健康宣教】;否认糖尿病,冠心病等病史;否认肝炎、结核等传染病史;否认外伤史;自诉20余年前因子宫出血行子宫切除术,否认余手术史;否认药物、食物过敏史。
#个人史:生于当地,久居当地。否认疫区、疫水接触史。否认毒物,放射性物质接触史。否认烟酒嗜好。
#婚育史:适龄结婚,配偶及子女体健。
#家族史:否认家族遗传病史及类似疾病史。
#专科检查:T 36.6℃P72次/分R18次/分HP 125/80 mmHg。神志清楚,发育正常,营养中等,轮椅推入病房,检查合作,全身皮肤、粘膜无黄染,浅表淋巴结未扪及中华大,双侧瞳孔等大等圆,对光反射灵敏,颈软,气管居中,甲状腺不大,双肺呼吸音清,未闻及干湿性啰音,心律齐,未闻及病理性杂音,腹平软,未触及压痛及反跳痛,肝脾肋下未及,肠鸣音正常,双肾区无叩击痛,双下肢不肿。专科情况:神志清楚,言语流利,对答切题,粗测空间、时间定向可,记忆力、计算力可,两侧额纹等称,双眼闭合正常,双侧瞳孔等大等圆,直径3mm,对光反射灵敏,眼球活动可,无眼震,左侧鼻唇沟稍浅,口角稍向右歪斜,伸舌偏左,悬雍垂居中,咽反射可,左侧肢体肌力上肢近端3级,远端3级,手指有不充分抓握级分指,下肢近端肌力3+级,远端3级,右侧肢体肌力正常,四肢肌张力正常,感觉检查未见异常,双侧腱反射等称存在,病理征未引出【知识点4:脑卒中的体格检查】。
康复评定:NIHSS评分:4分
坐位平衡2级,站位平衡无;
Brummstrom分期:左侧上肢4期,手4期,下肢4期;
MBI:52分(进食8分,洗澡1分,个人卫生4分,穿衣5分,大便控制10分,小便控制10分,如厕2分,床椅转移12分,平地行走0分,上下楼梯0分);【知识点5:脑卒中的康复评定】
基于ICF功能评估:
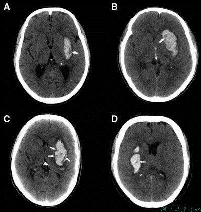
身体结构与功能:2023-10-06我院颅脑CT:右侧基底节区、放射冠血肿破入脑室。患者因“脑出血”导致左侧肢体运动障碍;
活动:患者日常生活能力部分依赖,MBI:52分;
参与:患者左侧肢体运动障碍,目前以轮椅生活为主,家庭及社会活动参与受限;环境:患者目前以轮椅生活为主,对环境需求提高,无障碍设施及环境可增加患者活动交流范围;患者为城乡居民医保,可报销部分医疗费用;患者康复意愿积极,家属支持;【知识点6:ICF功能评估】。
#辅助检查结果:

图1 血常规

图2 生化全项

图3 凝血分析

图4 尿液分析

图5 颅脑CT

图6 上肢静脉彩超

图7 下肢静脉彩超

图8 心电图
#诊断:A.脑卒中(出血性卒中)-脑出血恢复期
功能诊断:左侧肢体运动障碍/平衡障碍
日常生活能力中度依赖
症状及体征(诊断重要线索和客观依据):① 急起发病 ②偏侧肢体无力、中枢性面瘫等神经功能缺失 ③意识障碍 ④呕吐 ⑤血压升高
辅助检查(诊断必要条件):颅脑CT
B.高血压病2级 极高危组:结合患者病史及其出现脑血管意外,诊断明确。
#鉴别诊断:
A脑梗死:本病是由于高血压性脑动脉硬化引起血管管腔狭窄、脑血栓形成或脑栓塞引起相应血管支配区脑组织缺血缺氧坏死,导致相应神经功能缺失症状。体征的一类疾病,但病情可进展缓慢,起病一般无明显意识障碍、恶心呕吐等颅内压增高表现,且影像学检查显示不同密度影,故可排除。
B颅脑损伤:颅脑损伤后亦会有意识障碍、头痛、恶心、呕吐肢体瘫痪等神经功能缺失症状,但其是由暴力因素直接或间接作用于头部引起颅脑组织损伤,导致功能障碍,其外伤史明确,与患者病情不符,可排除。。
C动脉瘤破裂出血:本病同样会有神经功能障碍的表现,但其急起发病,查体无明显高血压,CT检查多以蛛网膜下腔出血为主要表现,与患者病情不符,可排除。
D动静脉畸形破裂出血:本病同样会有神经功能障碍的表现,但其急起发病,查体无明显高血压,CT亦表现为颅内血肿,但出血部位一般少见于基底节或丘脑区,必要时可完善脑血管造影进一步检查排除。
#治疗原则:
患者处于卒中恢复期,基本病情稳定,结合患者诉求,完善康复评定,制定合理康复治疗计划,进行分阶段全周期康复治疗及延伸训练,促进功能恢复。同时进行疾病健康宣教,预防并发症及卒中再发【知识点7:三级康复理念,康复基本原则】。
治疗计划:
1.评估病情,完善相关检查,排除其他并发症及康复治疗禁忌症;
2.监测血压、心率等生命体征稳定;
3.基本药物治疗:降压、预防癫痫、营养神经等;
4.召开团队会议,评估患者功能情况,了解患者及家属诉求,制定康复目标,制定康复计划;
5.行运动疗法、关节活动度训练、肌力训练、电动起立床训练、肌电生物反馈、作业治疗、关节松动训练、神经肌肉电刺激、普通针刺、电针、头皮针、手功能训练、日常生活能力训练【知识点8:脑卒中的康复治疗】;
6.行健康宣教,进行风险预防,指导督促完成延伸训练内容。

图9 团队会议

图10 穿脱衣物

图11 ADL训练

图12 站立训练
康复结局:
该患者经28天康复治疗,回归家庭。康复评估结果:坐位平衡3级,站位平衡3级,患侧上下肢肌力4+级,Brunnstrom分期:左侧上肢6期,手6期,下肢6期,日常生活基本自理,MBI:98分。【知识点9:康复结局】
#总结与思考:
1脑卒中的发病特点、危险因素。
2不同阶段卒中患者康复治疗。
3卒中患者的功能评估。
4脑卒中常见临床并发症及处理。
#知识点名称:知识点1:脑卒中的诊断及鉴别诊断
#知识点标签(依据执考大纲):9.1.1
#易程度(A/B/C):A
#内容(文字、图片描述知识点内容):
定义:突然发生的、由脑血管病变引起的局限性或全脑功能障碍,持续时间超过24小时或引起死亡的临床综合征。
发病特点:急性发病,血管源性、神经功能障碍
病理性质:缺血性卒中(脑血栓、脑栓塞、腔隙性脑梗死)、出血性卒中(脑出血、蛛网膜下腔出血)
根据机制:动脉粥样硬化性血栓性脑梗死、脑栓(心源性、动脉源性、其他)、出血性脑梗死、高血压性脑出血、血管畸形或动脉瘤破裂出血、肿瘤性出血、血液病源性出血、颅内异常血管网症等
根据责任血管:颈动脉、椎动脉、颅内动脉及细小动脉。
#知识点名称:知识点2:脑卒中的影像学特点
#知识点标签:9.1.2
#难易程度(A难/B中等/C易):A
#内容(文字、图片描述知识点内容):
脑卒中的影像检查方法:
1.X线无临床应用价值
2.CT诊断:方便快捷,清晰显示脑组织,区分脑出血和脑梗死;确定部位、大小、性质等,急性卒中首选方法。
3.MRI诊断:多方位直接成像,显示结构无死角;可直接显示动脉瘤等血管异常;显示脑梗死时间更早;无需造影剂可直接行MRA。
4.经颅多普勒:了解血管情况,作为筛选和术后随访。
5.DSA:必要时选用了解脑血管情况;介入治疗首选。

图13 脑出血CT影像

图14 脑梗死MRI及DSA
#知识点名称:知识点3:脑卒中的危险因素
#知识点标签:9.1.3
#难易程度(A难/B中等/C易):A
#内容(文字、图片描述知识点内容):
危险因素:高血压、糖尿病、高脂血症、心脏病、不良饮食习惯、饮酒、吸烟等;
健康宣教:早期康复干预和综合康复治疗,继续控制危险因素,预防卒中复发,减轻功能障碍程度提日常生活活动能力,回归家庭及社会。
#知识点名称:知识点4:脑卒中患者体格检查危险因素
#知识点标签:9.1.4
#难易程度(A难/B中等/C易):A
#内容(文字、图片描述知识点内容):
一般体格检查:生命体征(体温、血压、脉搏);一般情况(发育、应用、神志、表情、步态、体位);皮肤粘膜;头颅五官;颈部;胸腹部;脊柱;肛门、生殖器;
神经系统专科查体:意识;言语;颅神经;运动功能(肌力、肌张力、共济、轻瘫、生理反射、病理反射);感觉功能;自主神经系统;脑膜刺激征;
#知识点名称:知识点5:脑卒中康复评定
#知识点标签:9.1.5
#难易程度(A难/B中等/C易):A
#内容(文字、图片描述知识点内容):
一、脑损害严重程度评定:格拉斯哥昏迷量表(GCS);脑卒中患者临床神经功能缺损程度评分标准;美国国立研究院脑卒中评定量表(NIHSS)。
二、运动功能评定:
1.Brunnstrom运动功能评定方法:
| 分期 | 运动特点 | 上肢 | 手 | 下肢 |
| 1 | 无随意运动 | 无任何运动 | 无任何运动 | 无任何运动 |
| 2 | 引出联合反应、共同运动 | 仅出现协同运动模式 | 仅有极细微的屈曲 | 仅有极少的随意运动 |
| 3 | 随意出现的共同运动 | 可随意发起共同运动 | 可有钩状抓握,但不能伸指 | 在坐和站立位上,有髋、膝、踝的协同性屈曲 |
| 4 | 共同运动模式打破,开始出现分离运动 | 出现脱离协同运动的活动:肩0度,肘屈90度下,前臂可旋前、旋后;肘伸直情况下,肩可前屈90度;手臂可触及腰骶部 | 能侧捏和松开拇指,手指有半随意的小范围伸展 | 在坐位上,可屈膝90度以上,足可向后滑动;足跟不离地的情况下踝可背屈 |
| 5 | 肌张力逐渐恢复,有分离精细运动 | 出现相对独立于协同运动的活动:肩前屈30-90度时,前臂可旋前、旋后;肘伸直时肩可外展90度;肘伸直,前臂中立位,上肢可举过头 | 可做球状或圆柱状抓握,手指同时伸展,但不能单独伸展 | 健腿站,患腿可先屈膝,后伸髋;伸膝下,踝可背屈 |
| 6 | 运动接近正常水平 | 运动协调近于正常,手指指鼻无明显辨距不良,但速度比健侧慢(≤5秒) | 所有抓握均可完成,但速度和准确性比健侧差 | 在站立位可使髋外展到抬起该侧骨盆所能达到的范围;坐位下伸直膝可内外旋下肢,合并足内外翻 |
2.Fugl-Meyer评定法;主要包括肢体运动、平衡和感觉积分,以及关节被动活动度积分;
三、平衡功能评定
1.三级平衡检测法:I级平衡是指静态下不借助外力,患者可以保持坐位或站立位平衡;II级平衡是指在支撑面不动(坐位或站立位),身体某个或几个部位运动时可以保持平衡;III级平衡是指患者在外力作用或外来干扰下仍可以保持坐位或站立平衡。
2.Berg平衡评定量表:一共有14项检测内容:坐→站;无支撑站立;足着地,无支撑坐位;站→坐;床→椅转移;无支撑闭眼站立;双脚并拢,无支撑站立;上肢向前伸;从地面拾物;转身向后看;转体360°;用脚交替踏台阶;双足前后位,无支撑站立;单腿站立。每项评分0-4分,满分56分,得分越高表明平衡功能越好。
四、日常生活能力评定(ADL):Barthel指数(BMI)、功能独立性评定(FIM)
五、生存质量(QOL)评定:分为主观取向、客观取向和疾病相关的QOL三种,常用量表有生活满意度量表、WHO-QOL100和SF-36等
六、其他功能障碍评定:感觉功能评定、认知功能评定、吞咽功能评估、失语症评定、构音障碍评定、心理评定等
#知识点名称:知识点6:脑卒中ICF评估
#知识点标签:9.1.6
#难易程度(A难/B中等/C易):A
#内容(文字、图片描述知识点内容):
ICF(国际功能、残疾和健康分类)将脑卒中患者功能受损程度分为三个水平:1.器官水平的功能障碍,即身体结构与功能的损害;2.个体水平的功能障碍,即活动受限(指日常生活活动能力受限);3.社会水平的功能障碍,即参与受限(指参与社会生活的能力受限)。
#知识点名称:知识点7:脑卒中的三级康复、基本康复原则
#知识点标签:9.1.7
#难易程度(A难/B中等/C易):A
#内容(文字、图片描述知识点内容):
三级康复:一级康复是指脑卒中急性期在神经内科或神经外科住院期间进行的康复治疗;
二级康复是指脑卒中恢复早期在康复医学科或康复中心进行的康复治疗;
三级康复是指脑卒中恢复中后期或后遗症期在社区或家庭开展的康复治疗。
一、康复目标:采用一切有效措施预防脑卒中后可能的并发症,改善受损的功能,提高日常生活能力和社会生活能力;
二、康复时机:通常主张在生命体征稳定48小时后,原发神经病学疾患无加重或有改善的情况下,开始进行康复治疗;
三、基本原则:
1.选择合适的病例和早期康复时机;
2.康复治疗计划制定建立在功能评定基础上,由康复治疗小组共同制定,并在实施过程中加以调整;
3.康复治疗贯穿于脑卒中治疗全过程,做到循序渐进;
4.康复治疗要与日常生活和健康教育相结合,提高主动参与级家属配合;
5.积极防治并发症,做好二级预防。
#知识点名称:知识点8:脑卒中的康复治疗
#知识点标签:9.1.8
#难易程度(A难/B中等/C易):A
#内容(文字、图片描述知识点内容):
一、急性期康复治疗(发病后1-2周,Brunnstrom分期1-2期)
1.体位与患肢的摆放:翻身、良肢位摆放
2.偏瘫肢体被动活动:从近端关节到远端关节
3.床上活动:双手交叉握上举、翻身、桥式运动
4.运动想象疗法:可用于脑卒中恢复的任何阶段
5.物理因子治疗:局部机械性刺激、功能性电刺激、肌电反馈、气压、TDCS、rTms
6.中国传统疗法:按摩、针灸
二、恢复早期康复治疗(亚急性期,发病后3-4周,Brunnstrom分期2-3期)
1.床上与床边活动:上肢上举、床边坐、床边站、双下肢交替屈伸、桥式运动
2.坐位活动:坐位平衡训练、患侧上肢负重、上肢功能活动、下肢功能互动
3.站立活动:站立平衡训练、患侧下肢负重、上下台阶运动
4.减重步行训练、机器人辅助步行训练
5.平行杠内行走
6.室内行走与户外活动
7.强制性运动疗法:重复的任务训练、适应性任务训练、对健侧持续限制
8.物理因子治疗:功能性电刺激、肌电生物反馈、低中频电刺激;主要针对患侧上肢伸肌、患侧下肢屈肌
9.中国传统疗法:按摩、针灸;部位宜选择患侧上肢伸肌、患侧下肢屈肌
10.作业治疗活动:日常生活活动、运动性功能活动、辅助用具使用训练
11.步行架与轮椅的应用
12.言语、吞咽、认知等治疗
三、恢复中期康复治疗(发病后4-12周,Brunnstrom分期3-4期)
1.上肢和手的治疗性活动
2.下肢的治疗性活动
3.作业性治疗活动
4.同步进行言语、吞咽、认知训练
四、恢复后期康复治疗(发病后4-6月,Brunnstrom分期5-6期)
1.上肢和手的功能训练
2.下肢功能训练
3.日常生活活动能力训练
4.言语、认知、心里治疗及训练
5.支具和矫形器的应用
五、后遗症期的康复治疗
后遗症期是指脑损害导致的功能障碍在相当长的时间内不会有明显的改善,临床上有的在发病后6-12月,但多在发病后1-2年。
此期康复治疗为三级康复,应加强残存和亦有功能的恢复,包括代偿性功能训练;矫形器、步行架和轮椅的应用;环境改造;必要的职业功能训练。
六、特殊临床问题的处理
1.肩部问题:肩手综合征、肩关节半脱位、肩部软组织损伤
2.肌痉挛和关节挛缩
3.下肢静脉血栓:主被动运动、抬高下肢、弹力袜、气压
4.肺炎:吸入性肺炎、坠积性肺炎
5.压疮
6.抑郁焦虑:心理康复治疗、药物治疗
#知识点名称:知识点9:脑卒中的康复结局
#知识点标签:9.1.9
#难易程度(A难/B中等/C易):A
#内容(文字、图片描述知识点内容):
康复结局
影像脑卒中功能结局的因素:年龄、合并症与继发性功能损害、病灶部位与严重程度、早期与综合康复治疗、家庭与社会参与。
三种结局:1.受损功能完全恢复,临床治愈;2.仍留有不同程度的功能障碍;3.治疗无效、死亡。
#参考资料:
1.《神经康复学》,作者:倪朝民主编,出版发行:北京:人民卫生出版社, 2018 ISBN号:978-7-117-25810-4
2.《神经病学》,作者:吴江主编,出版发行:北京:人民卫生出版社, 2005.7 ISBN号:7-117-06900-7
3.《康复功能评定学》,作者:王玉龙主编,出版发行:北京:人民卫生出版社, 2018 ISBN号:978-7-117-27150-9
4.《物理治疗学》,作者:燕铁斌主编,出版发行:北京:人民卫生出版社, 2018 ISBN号:978-7-117-26105-0
5.《作业治疗学》,作者:窦祖林主编,出版发行:北京:人民卫生出版社, 2018 ISBN号:978-7-117-26248-4
6.中国脑卒中防治指导规范(2021版),中华人民共和国国家卫生健康委员会
7.中国急性脑卒中临床研究规范共识2018,中华医学会神经病学分会,中华神经科杂志,2018,51(4):247-255
8.中国脑卒中早期康复治疗指南,中华医学会神经病学分会,中华神经科杂志,2017,50(6):405-412
9.2021 AHA/ASA指南:卒中和短暂性脑缺血发作患者的卒中预防,美国心脏及卒中协会,Stroke,2021 Jul;52(7):e364-e467
10.中国脑血管病临床管理指南-卒中康复管理,中国卒中学会,中国卒中杂志,2019,14(8):823-831
11.AHA/ASA承认卒中康复指南(2016),美国心脏及卒中协会,Stroke,2016 May;47:
12.中国脑血管病临床管理指南(第2版),中国卒中学会,中国卒中杂志,2023,18(9)
13.中国脑卒中康复治疗指南,中华医学会神经病学分会神经康复学组,中国康复理论与实践,2012,Apr;18(4):301-3
